Dr. Gabriel Arismendi-Morillo Laboratorio de Investigaciones Gastrointestinales. Instituto de Investigaciones Biológicas “Doctores Orlando Castejón y Haydée V. Castejón”. Facultad de Medicina. Universidad de Zulia. Maracaibo, Venezuela.
RESUMEN
Para el diagnóstico de la Enfermedad Celiaca debe correlacionarse los aspectos relacionados con la clínica, pruebas serológicas, estudio endoscópico y biopsias de la mucosa duodenal. Los hallazgos esenciales son la linfocitosis intraepitelial, atrofia de las vellosidades intestinales e hiperplasia de las criptas. Para su interpretación apropiada se requiere de un muestro adecuado. En una elevada proporción de pacientes, las biopsias de la mucosa duodenal son relevantes para el diagnóstico y seguimiento.
Palabras claves: Enfermedad Celiaca. Linfocitosis Intraepitelial, Atrofia Vellositaria.
ABSTRACT
Correlation of clinical symptoms, serological tests, endoscopic study and biopsies of the duodenal mucosa is essential for Celiac Disease diagnosis. Intraepithelial lymphocytosis, villous atrophy, and crypt hyperplasia are the clue findings. For a proper interpretation, an adequate sample is required. In a high proportion of patients, biopsies of the duodenal mucosa are relevant for the diagnosis and follow-up.
Key words: Celiac Disease, Intraepithelial lymphocytosis, villous atrophy. Autor de correspondencia: Gabriel Arismedi-Morillo, Laboratorio de Investigaciones Gastrointestinales. Instituto de Investigaciones Biológicas “Doctores Orlando Castejón y Haydée V. Castejón”. Facultad de Medicina. Universidad de Zulia. Maracaibo, Venezuela, correo electrónico: gabrielarismendi@gmail.com
INTRODUCCIÓN
La Enfermedad Celiaca constituye uno de los cinco procesos patológicos relacionados con el consumo de gluten. Sus manifestaciones clínicas no son específicas, lo cual, puede dificultar el diagnóstico preciso (1). Derivado de esta situación, usualmente se requiere realizar la correlación de los aspectos clínicos, resultados de las pruebas serológicas, hallazgos endoscópicos e histopatológicos de la mucosa duodenal, con el fin de establecer el diagnóstico correcto (1,2).
De modo general, ante un contexto clínico sugestivo de Enfermedad Celiaca, se debe realizar las pruebas serológicas pertinentes, estudio endoscópico para observar el estado de la mucosa duodenal y obtener biopsias de la mucosa duodenal para su estudio histopatológico. Este proceso, se considera el Estándar de Oro para realizar el diagnóstico definitivo de Enfermedad Celiaca (3,4).
Con el objeto de evitar hallazgos falsos-negativos, el diagnóstico seguro, implica la interpretación adecuada de los hallazgos histopatológicos y de los resultados de las pruebas serológicas. En este sentido, se deben considerar dos aspectos esenciales, a saber, A) Al momento de realizar las pruebas serológicas y el estudio endoscópico con toma de las biopsias, el paciente debe estar consumiendo gluten en su dieta; y B) El muestreo de las biopsias de mucosa de duodeno requiere, al menos, dos biopsias de la mucosa del bulbo duodenal y cuatro biopsias de la mucosa del duodeno distal (5,6,7,8,9), dado que, mas de 2/3 de los casos exhiben afectación multifocal de la mucosa (10).
DIAGNOSTICO HISTOLÓGICO
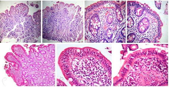
A nivel histopatológico, los hallazgos cardinales son la linfocitosis intraepitelial, atrofia de las vellosidades intestinales e hiperplasia de las criptas. Estos pueden observarse en grados de severidad variable (8,9,10,11,12,13). En la figura se pueden observar microfotografías correspondientes a biopsias de mucosa duodenal de pacientes con Enfermedad Celiaca.
De acuerdo con el grado de severidad de la linfocitosis intraepitelial, atrofia de las vellosidades intestinales e hiperplasia de las criptas, se han establecido varias clasificaciones histológicas. La clasificación de Marsh (11) se presentó en 1992. Posteriormente, en 1999, Oberhuber y colaboradores (12), publicaron una clasificación modificada de la publicada por Marsh en 1992. Esta, denominada clasificación de Marsh-Oberhuber, establece cinco categorías (algunas con subcategorías) de grados de lesión de la mucosa duodenal. Esta es utilizada por algunos patólogos para evaluar las alteraciones histopatológicas de los pacientes con Enfermedad Celiaca. Sin embargo, se ha comprobado una elevada variabilidad inter-observador, en algunos aspectos, aun entre patólogos experimentados (8). En 2005, Corazza and Villanacci (13) publicaron una clasificación basada en dos categorías (Lesiones no atróficas y Lesiones atróficas). Por su simplicidad, ha demostrado mejor concordancia inter-observador que las clasificaciones precedentes (14).
Leyenda de la Figura.
Fragmentos de mucosa duodenal revestidos por epitelio cilíndrico simple alto con borde en cepillo y con células caliciformes intercaladas en escasa cantidad, presenta infiltración por linfocitos maduros en moderada a abundante cantidad y de manera difusa (linfocitosis intraepitelial). Las vellosidades intestinales, exhiben de forma difusa aplanamiento severo (atrofia vellositaria). Se observan criptas de Lieberkühn con cambios hiperplásicos de grado leve a moderado. El corion presenta expansión difusa por infiltrado inflamatorio mononuclear tipo linfohistioplasmocitario moderado. Los hallazgos histopatológicos sugestivos de Enfermedad Celiaca. El diagnóstico de enfermedad celiaca es de correlación clínico-serológico-patológico. Debe establecerse correlación con estudios serológicos, aspectos clínicos y prueba terapéutica. Deben excluirse otras causas de duodenitis crónica con atrofia vellositaria y linfocitosis, tales como hipersensibilidad a otras proteínas alimentarias, giardiasis, gastritis por Helicobacter pylori, consumo de medicamentos como AINES o inhibidores de la bomba de protones, procesos autoinmunes gastrointestinales y extraintestinales.
CONCLUSIONES
Al parecer, lo más relevante es establecer el grado de severidad de la atrofia vellositaria y del infiltrado intraepitelial, antes de instaurar el tratamiento, para de esta manera compararla con posteriores evaluaciones histopatológicas, que permitan la correlación con la respuesta terapéutica de cada paciente.
REFERENCIAS BIBLIOGRÁFICAS
1- Taraghikhah N, Ashtari S, Asri N. y col. An updated overview of spectrum of gluten-related disorders: clinical and diagnostic aspects. BMC Gastroenterol 2020;20:258.
2- Kaswala D, Veeraraghavan G, Kelly C, Leffler D. Celiac disease: diagnostic standards and dilemmas. Diseases 2015;3(2):86–101.
3- Lewis N, Scott B. Meta-analysis: deamidated gliadin peptide antibody and tissue transglutaminase antibody compared as screening tests for coeliac disease. Aliment Pharmacol Ther 2010;31(1):73–81.
4- Van der Windt D, Jellema P, Mulder CJ, Kneepkens CF, van der Horst HE. Diagnostic testing for celiac disease among patients with abdominal symptoms: a systematic review. JAMA 2010;303(17):1738–46.
5- Niveloni S, Fiorini A, Dezi R, Pedreira S, Smecuol E, Vazquez H, y col. Usefulness of videoduodenoscopy and vital dye staining as indicators of mucosal atrophy of celiac disease: assessment of interobserver agreement. Gastrointest Endosc 1998;47(3):223–9.
6- McCarty TR, O’Brien CR, Gremida A, Ling C, Rustagi T. Efficacy of duodenal bulb biopsy for diagnosis of celiac disease: a systematic review and meta-analysis. Endosc Int Open. 2018;6(11):E1369–E78.
7- Lewis D, Haridy J, Newnham ED. Testing for coeliac disease. Aust Prescr. 2017;40(3):105–8.
8- Bao F, Green PH, Bhagat G. An update on celiac disease histopathology and the road ahead. Arch Pathol Lab Med 2012 Jul;136(7):735-45.
9- Kaswala D, Veeraraghavan G, Kelly C, Leffler D. Celiac Disease: Diagnostic Standards and Dilemmas. Diseases 2015;3(2):86-101.
10- Weir D, Glickman J, Roiff T, Valim C, Leichtner A. Variability of histopathological changes in childhood celiac disease. Am J Gastroenterol 2010;105:207–212.
11- Marsh M. Gluten, major histocompatibility complex, and the small intestine: a molecular and immunobiologic approach to the spectrum of gluten sensitivity (‘celiac sprue’). Gastroenterology 1992;102(1):330–54.
12- Oberhuber G, Granditsch G, Vogelsang H. The histopathology of coeliac disease: time for a standardized report scheme for pathologists. Eur J Gastroenterol Hepatol 1999;11(10):1185–94.
13- Corazza G, Villanacci V. Coeliac disease. J Clin Pathol 2005;58(6):573-4.
14- Corazza G, Villanacci V, Zambelli C, Milione M, Luinetti O, y col. Comparison of the interobserver reproducibility with different histologic criteria used in celiac disease. Clin Gastroenterol Hepatol 2007;5(7):838-43.





